Ismay scoliose
Blog Ismay
Scoliose-info
Syringomelie
Familie
Klompvoeten
gastenboek
album
Info Zorgloket Duitsl.& Helios
« terug
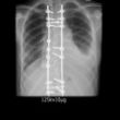
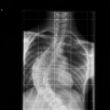
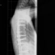
Scoliose